Paradentose - Forebyggelse og behandling mod paradentose. Få undervisning i hvordan du holder paradentosen i skak.

En tandkrone eller ofte blot kaldt en krone er en erstatning for den naturlige tandkrone. Kronen kan laves i forskellige materialer, men porcelæn er det mest almindelige.

Du skal have en krone, hvis din tand har været meget angrebet af caries. F.eks. hvis du har haft et meget stort hul, hvor det ikke er muligt at lave en plastfyldning eller et inlay/onlay.

Tandlægen vil i så fald slibe din tand ned (rense den) og tage aftryk til at placere en ny kunstig tand på den afslebne tand. Denne kunstige tand er fremstillet af porcelæn og vil blive fremstillet således at den ligner din naturlige tand. Når tandteknikeren har fremstillet kronen vil den blive cementeret på din nedslibende tand. Hvis det er muligt prøver tandlægen at afslutte din behandling dagen før du tager hjem, så du har nogle timer/natten til at føle om cementeringen er korrekt. Dvs. at den nye krone føles glat og naturlig i munden samt at dit bid er perfekt. Dette kan være svært for dig at vurdere lige efter cementeringen, da du stadig vil være bedøvet.
Der skelnes typisk mellem tre forskellige slags kroner. Porcelænskrone baseret på metal (den inderste kerne består af metal). Denne type krone er den billigste, kaldes MK krone, og ofte den der anvendes af danske tandlæger. Tandteknikeren kan typisk fremstille en metalkrone på 2-3 dage, hvis det kun er en enkelt krone.

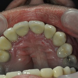
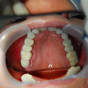
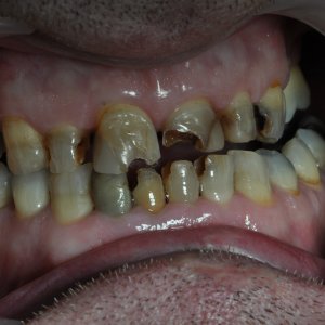
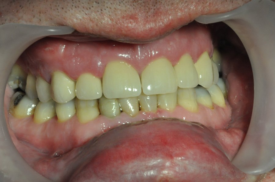
Eksempel:

FØR:

EFTER:

 

Den anden type er en porcelænskrone baseret på guld (den inderste kerne består af guld). Guld er et ædelmetal og væsentlig bedre end metal. Tandteknikeren kan typisk fremstille en krone baseret på guld på 3-4 dage.

Den tredje type er 100% porcelænsbaseret. Det er ofte den dyreste, men også den bedste. Tandteknikeren kan typisk fremstille en 100% porcelænskrone på 3-4 dage.

Selve behandlingen vil typisk tage 4-5 dage.

Fordele og ulemper ved de tre typer af kroner:

Porcelænskrone (metalbaseret – den indre kerne er lavet af metal) - er den billigste og anvendes ofte af danske tandlæger. Normalprisen i Danmark er omkring Kr. 4.500,00 (god kvalitet). Ulempen ved metalbasere porcelænskroner er, at metal ”tiltrækker” bakterier samt at dine tænder vil få et gråligt skær. Der er typisk nikkel i metalblandingen (spørg din tandlæge om de er allergifrie -det er de på de fleste klinikker i Polen), som mange mennesker er allergiske overfor og mange udvikler allergi over for nikkel. De er desuden ikke så holdbare som de sidste to typer. Vi har to klinikker i Stettin og én i Krakow, som stadig tilbyder disse, og begge anvender allergifrie materialer. Prisen er fra 1.000,00 PLN pr. stk. ca. Kr. 1.850,00.

Porcelænkrone (guldbaseret – kernen er lave af guld) er en væsentlig bedre krone. Guld er et ædelmetal og frastøder bakterier og der er endnu ikke nogen, der har fået allergi af guld. Guld er desuden mere holdbart. En porcelænskrone (guld baseret) koster Kr. 6.500,00 - 8.000,00 i Danmark. De koster fra 1.400,00 PLN (30% guld) og fra 1.600,00 PLN (80% guld) i Polen. Dvs. Kr. 2.380,00 – 2.720,00 pr. stk. Disse kroner anbefales normalt til kindtænder og eneste ulempe er at tænderne får et lille gulligt skær (mange har gullige tænder, hvor det ikke betyder noget). Derfor anbefales metal og guldbaserede porcelænskroner ikke, hvis det er fortænderne.

100% porcelænskrone er den sidste type krone og den består af 100% porcelæn. De er de bedste og ligner naturlige tænder. De koster omkring Kr. 6.000,00 til 8.000,00 pr. stk. i Danmark og fra 1.500,00 PLN pr. stk. i Polen eller Kr. 2.770,00. Det anvendes ofte til fortænderne, da de ligner dine naturligetænder mest. Til de foreste overmundstænderne kaldes de også jacketkroner.

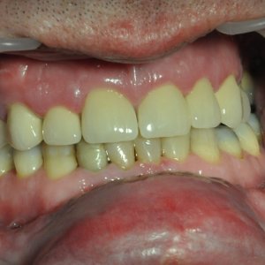
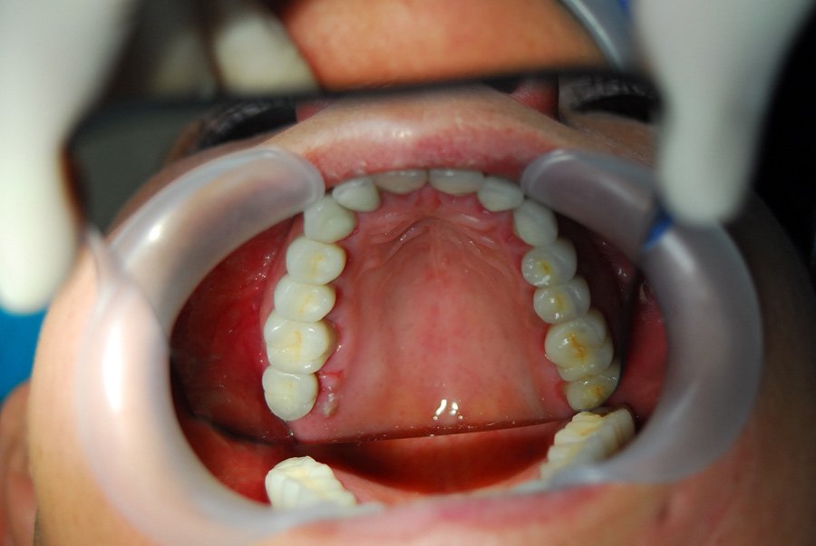
Eksempel:

FØR:

EFTER:

En af fordelene ved at komme til Polen er, at prisforskellen på den billigste og den dyreste løsning ikke er så stor. I Danmark anbefaler tandlægerne ofte den billigste løsning, da de ved, at den bedste løsning er skræmmende dyr. I Polen anbefaler tandlægerne dig den bedste/rigtigste løsning og derefter taler vi om, om det kan gøres billigere med andre løsninger. Hvis du vælger den bedste løsning sparer du endnu mere i Polen (80%) i forhold til Danmark.

Skal du have mange kroner kan det selvfølgelig stadig være mange penge. Hvis du gerne vil ”spare” lidt anbefaler vi derfor altid at få 100% porcelænskroner på de forreste tænder, da de er meget synlige i lyset, mens de bagerste kroner på kindtænderne godt kan være baseret metal eller guld.

Ved kroner og broer skal du altid først have taget et panorama røntgenbillede. Se diagnose. Dette gøres for at se, om du kan nøjes med et inlay/onlay samt om du skal have foretaget rodbehandlinger m.m.

Det nytter ikke noget at sætte en fin ny krone på en syg tand (betændelse i roden). I visse situationer er det også en fordel (præventivt) først at få foretaget en rodbehandling (en rodbehandling svare til at slå nerverne ihjel), så du ikke senere vil få smerter i tanden. Tandlægen vil nogle gange være tvunget til at ødelægge kronen, hvis han efterfølgende skal lave en rodbehandling og dermed skal du igen have en ny krone. Se evt. rodbehandling.

Når vi skal vurdere om du skal en, to eller tre gange til Polen, så er det ofte usikkerheden omkring rodbehandlingen, der er grund for dette. Skal du først have renset flere rodkanaler vil det ikke være muligt at klare kroner eller broer i første besøg, da rensningen af rodkanalen ofte tager flere dage.

 

KONTAKT MED OS

KONTAKT


Mandag til søndag: Kl. 09.00 – 21.00

Dansk telefon: +45 22 30 42 58

Aften og weekend: +45 22 30 42 58

Facebook: Følg os på Facebook

Beauty Smile

Mandag til søndag: Kl. 09.00 – 21.00

+45 22 30 42 58 (Jesper)

Skype: rainerstettin

Viber: +45 22 30 42 58 (Jesper)

WhatsApp: +45 22 30 42 58 (Jesper)

Vi anvender cookies for at sikre, at vi giver dig den bedst mulige oplevelse af vores website. Hvis du fortsætter med at bruge dette site vil vi antage, at du er indforstået med vores privatlivspolitik. PRIVATLIVSPOLITIK OK